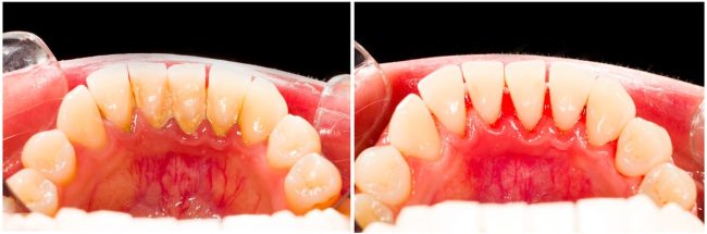
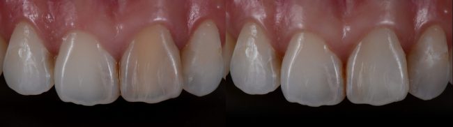
¿Porque tenemos sarro y como quitarlo?
El sarro es un problema de salud oral que contribuye significativamente a problemas bucodentales. A pesar de su prevalencia, muchos pacientes desconocen los detalles de esta afección y la importancia de prevenir su desarrollo. En este artículo, vamos a explicar qué es el sarro, las consecuencias de ignorarlo y los métodos disponibles para su eliminación…











