¿Has notado que uno de tus dientes está más oscuro? ¡No te debes preocupar! Está situación sucede en algunas ocasiones y afecta a algunas personas. Para recuperar el color de tus dientes puedes hacerte un blanqueamiento dental interno. Actualmente muchas personas llevan a cabo este tipo de tratamientos para tener la sonrisa deslumbrante que desean. Si quieres descubrir qué es y como se lleva a cabo este tipo de tratamientos ¡continúa leyendo!
¿Qué es el blanqueamiento dental?
En primer lugar vamos a definir en qué consiste un blanqueamiento dental normal y corriente. Se trata de un tipo de tratamiento de estética dental que tiene por objetivo aclarar los diferentes tonos del esmalte dental, obteniendo un color brillante y bonito.
Esto se lleva a cabo a través del uso de un agente blanqueador, como el peróxido de hidrógeno o de carbamida, que se aplica sobre los dientes del paciente. Gracias a esto conseguimos una sonrisa más bonita y reluciente.
¿Qué es un blanqueamiento interno dental?
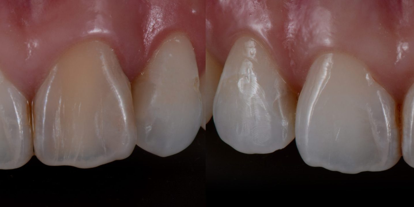
Un blanqueamiento interno dental se trata de una técnica que se lleva a cabo tan sólo en aquellas piezas dentales que son más oscuras que el resto y han sido previamente endodonciadas y se lleva a cabo en el interior del diente.
Con el paso del tiempo, un diente que haya sido previamente endodonciado, puede oscurecerse, generando un efecto antiestético que afecte al buen ver de una sonrisa. No obstante, no es algo que deba preocuparte, ya que a través de un blanqueamiento interno dental, esto queda solucionado.
¿Cómo es el procedimiento de un blanqueamiento dental interno?
Te explicamos, paso a paso, cómo se realiza un blanqueamiento dental interno:
Diagnóstico del problema
En primer lugar se llevan a cabo una serie de pruebas para evaluar en qué estado se encuentra el diente endodonciado. En adición, se registra el color de los dientes del paciente para tener guardada una referencia de este mismo.
Aplicación de gel blanqueador
El profesional en odontología procede a la apertura de la cavidad pulpar en la que, previamente, se llevó a cabo una endodoncia. Posteriormente, desinfecta la cavidad asegurándose que quede completamente limpia y aplica el gel blanqueador en el conducto radicular.
Sellado
Después de haber aplicado el gel blanqueador, se procede a sellar la cámara pulpar de forma temporal, con un material biocompatible con el organismo y que no genera rechazo ni ningún tipo de reacción alérgica.
Revisión del tratamiento
Tras transcurrir unos días, normalmente una semana, el paciente debe acudir de nuevo a la clínica, dónde el odontólogo retirará el sellado temporal y valorará el resultado. Si el diente está en el color que desea el paciente, se sella y reconstruye de forma definitiva. En caso contrario, se realiza el mismo procedimiento hasta tener el resultado deseado.
¿Qué requisitos hay para hacer un blanqueamiento dental interno?
Los requisitos para llevar a cabo un blanqueamiento interno dental son los siguientes:
- Tratamiento de endodoncia correctamente realizado: esto quiere decir que el conducto radicular debe estar obturado y sellado perfectamente, con el fin de evitar que los agentes blanqueantes se filtren hacia los tejidos periapicales.
- Diente sano: el diente debe estar sano para poder llevar a cabo el blanqueamiento dental. No debe presentar ninguna patología periapical ni periodontal.
- Dentina sana
- Apertura coronaria adecuada
Esperamos que con este artículo hayamos podido resolver todas las dudas que pudieras tener sobre el blanqueamiento interno dental








